
黄斑部视网膜出血是一类会造成视力急剧下降的疾病,较常见于年龄相关性黄斑病变、息肉状脉络膜血管病变和视网膜大动脉瘤等眼底病变,也可见于Valsalva视网膜病变及服用全身抗凝药治疗的病人。黄斑部出血可分为视网膜前出血、视网膜层间出血、视网膜下出血及混合型出血。
黄斑区视网膜下积血如长期存在,由于血块释放的铁离子对视网膜和脉络膜血管产生毒性作用,纤维蛋白对视网膜的牵拉作用以及出血阻碍营养物质的吸收与代谢产物的转运等机制,会造成视网膜进行性不可逆性损伤。以往的黄斑部视网膜下出血的患者几乎难以避免失明的结局,严重影响生活。
对于各种原因导致的不同范围的黄斑部视网膜下出血,一定要尽早积极就医,尽快去除黄斑部视网膜下积血,最佳手术时间一般认为是发病的2周内,最长不超过一个月,延误时机将导致不可逆的视力严重损失。祛除积血后,再根据出血原因决定是否进行后续治疗。
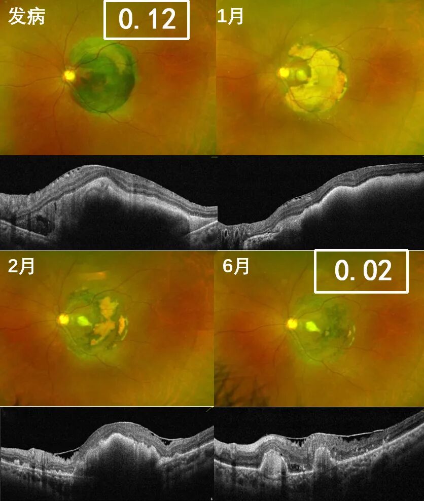
图1:接受抗VEGF数次治疗的黄斑区视网膜下出血的PCV病人,黄斑出血吸收十分缓慢,视力进行性下降,六个月时间内由最初的0.12下降到0.02
图2:黄斑区视网膜下出血的PCV病人接受抗VEGF治疗后,视网膜下出血突破视网膜至玻璃体腔内造成视力的进一步下降,只清除玻璃体积血而不处理黄斑下出血,术后黄斑区遗留大片瘢痕,视力仍只有指数